The Elevation Health Approach: Objective Data, Measurable Outcomes
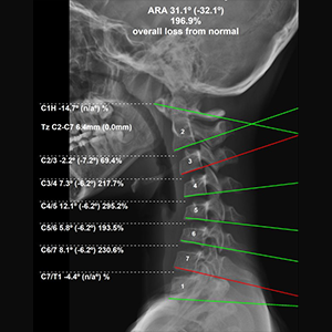
The Elevation Health Approach: Objective Data, Measurable Outcomes When it comes to spine and injury care—especially for patients who have been injured in a car accident—one of the biggest frustrations is uncertainty. Patients are often told they should feel better, that healing “takes time,” or that pain levels are subjective. At Elevation Health, the approach […]
The Elevation Health Approach: Objective Data, Measurable Outcomes Read More »






